Periodontal (Gum) Disease & Your Health...
What is Periodontal Disease?
It is an infection in your mouth caused by the bacteria in plaque, a soft film that forms on your teeth. Left untreated, it can lead to tooth loss and extensive infection which can affect other areas of your health.
What Causes Periodontal Disease?
Poor and inconsistent home care along with a lack of regular professional dental cleanings.
There are 3 stages of Periodontal Disease:
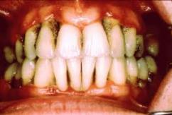
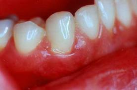
Gingivitis
is the first stage of gum disease. Your gums become mildly sore, may be red or puffy, you may notice bad breath and gums may bleed during brushing or flossing.
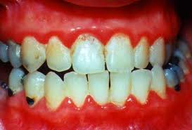
Periodontitis
is the next phase of gum disease. The gums begin to pull away from the teeth, allowing plaque to invade the roots, tissue and bone around your teeth. You may notice a bad taste in your mouth, experience bad breath and increased discomfort in your mouth.

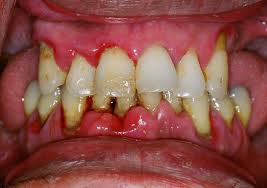
Advanced Periodontitis
is the most established phase of gum disease. This is the phase that can occur when the earlier stages of Periodontal Disease are left undiagnosed and untreated. The tissue and bone which hold your teeth in place are destroyed by bacteria and infection. You may notice a change in the way your teeth fit together when you bite and a pus-like substance between your teeth. Teeth become loose, painful and often require removal.

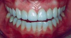
Healthy Gum Tissue

The early stages of Periodontal Disease can be treated and may be reversible. Your dentist would provide instruction for more thorough home care and possibly recommend a more frequent maintenance program. The dentist may suggest having your teeth professionally cleaned 3-4 times per year to prevent the advancement of the disease.
For more advanced stages of Periodontal Disease, the dentist may recommend Scaling and Root Planing Treatment (deep cleaning). This treatment requires numbing of the local areas allowing the hygienist to thoroughly scale the deep pockets between the teeth. The dentist will give instruction for specialized home care and recommend the treatment be followed up with more frequent dental cleanings. The dentist will also strongly recommend the avoidance of tobacco products, which constrict the fine blood vessels in the tissue and inhibits proper healing.
It is vitally important to work closely with your dentist during the treatment of all stages of periodontal disease. Prevention and early treatment is key. Your dentist can give you the tools to maintain strong teeth and healthy gums throughout your life.
Please feel free to contact us if you have additional questions or wish to schedule an evaluation appointment!
586.774.3400
30207 Harper Ave. St. Clair Shores, MI 48082